+918048046790
Currently it only shows your basic business info. Start adding relevant business details such as description, images and products or services to gain your customers attention by using Boost 360 android app / iOS App / web portal.

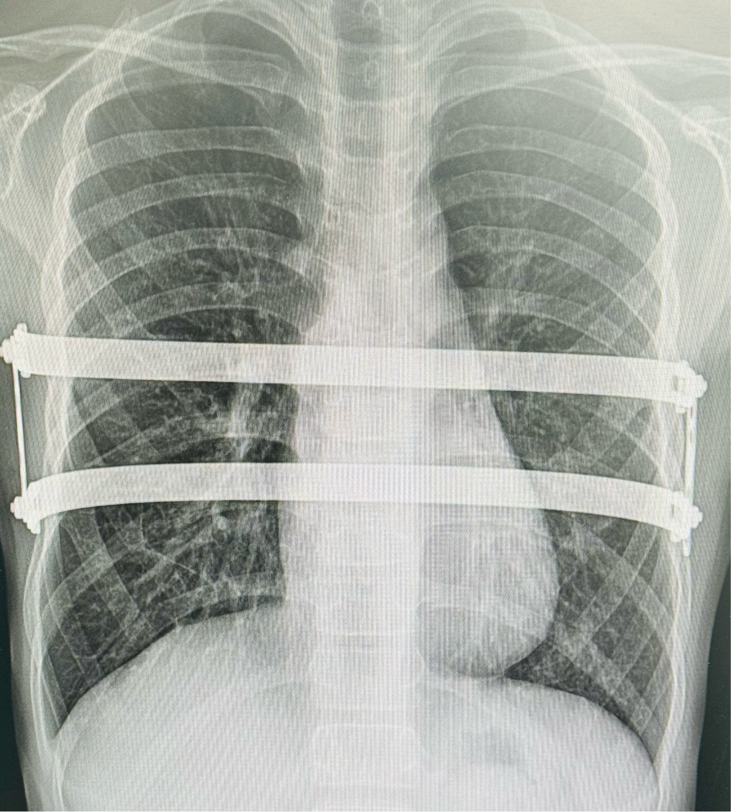
MIRPE: Revolutionizing Pectus Deformity Correction Minimally Invasive Repair of Pectus Excavatum (MIRPE) is a groundbreaking surgical technique that has transformed the treatment of pectus excavatum. This method involves placing a customized implant (bar) behind the sternum to correct the chest wall deformity. MIRPE is celebrated for its minimal scarring, faster recovery, and high success rates—over 95% in experienced hands. Success Through Precision and Quality Implants The success of MIRPE hinges on the surgeon’s precision and the quality of the implant. Using the correct implant ensures optimal chest contour, stability, and long-term results. My commitment to excellence has taken me across South Korea, China, and Thailand, where I perform pectus surgeries with the same technique, implants, and outcomes. Perfection isn’t just a goal—it’s a process I deeply believe in. Affordable and Accessible Care Advancements in pectus surgery have made MIRPE increasingly accessible and affordable, enabling patients worldwide to benefit from this transformative procedure. My mission is to deliver exceptional care and life-changing results to patients, no matter where they are. Welcome to Inhales exhales - Dedicated pectus clinic in India • Best pectus surgeon in Chennai • Top pectus excavatum specialist India • Affordable pectus excavatum surgery in Chennai • Minimally invasive pectus repair Chennai • MIRPE surgery Chennai India • Pectus deformity correction expert Chennai • High success rate pectus surgery India • Quality implants for pectus repair Chennai • Experienced thoracic surgeon Chennai • Best chest wall deformity surgeon India • Affordable minimally invasive thoracic surgery India • Life-changing pectus excavatum treatment Chennai